Lompat ke konten Lompat ke sidebar Lompat ke footer

46+ Cold Autoimmune Hemolytic Anemia Blood Smear Pictures

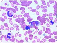
46+ Cold Autoimmune Hemolytic Anemia Blood Smear Pictures. Warm aiha affects a person at room temperature, but with cold aiha, symptoms worsen with cold. The doctor will do this test to see if your body is making antibodies against red blood cells.

Cold-Agglutinin Disease - Heme - Medbullets Step 2/3
Cold-Agglutinin Disease - Heme - Medbullets Step 2/3 from upload.medbullets.com
Autoimmune hemolytic anemia (aiha) is caused by autoantibodies that react with self red blood cells (rbcs) and cause them to be destroyed. Autoimmune hemolytic anemia is one type of anaemia that is due to the production of autoantibodies against red blood cell membrane antigens. Reduced production of red blood cells, blood loss, and increased.

It has a variety of causes and the different types of anemia can be categorized by the three basic causes of the condition:

Find about the different types, what causes them, and the outlook. Autoantibodies that bind to the erythrocyte membrane leading to premature erythrocyte destruction (hemolysis) characterize autoimmune hemolytic anemia. In immune hemolytic anemia, the body's immune system destroys the body's red blood cells. As you now know, immune hemolytic amemias (also called autoimmune hemolytic anemias) come in two kinds:

Posting Komentar untuk "46+ Cold Autoimmune Hemolytic Anemia Blood Smear Pictures"